Program:
Luni - Vineri
9am - 9pm
Sâmbătă:
9am - 3pm
Duminică:
închis
0740 765 262
0376 509 458
Am o urgență
Află toate informațiile despre acest tratament, precum și prețurile acestuia, din informațiile de mai jos.






Foarte profesionisti! (Translated by Google) Very professional!






Recomand ! (Translated by Google) I recommend!






Recomand (Translated by Google) recommend






Pentru prima dată merg cu drag la dentist!! Mulțumesc echipei DentalCare Sîrbu pentru profesionalism!! 10* (Translated by Google) For the first time I am happy to go to the dentist!! Thank you to the DentalCare Sîrbu team for their professionalism!! 10*






La clinica domnului dr. Sirbu, am simțit că sunt pe mâini bune încă din prima clipă. O echipă minunată, formată din oameni cu o măiestrie rară și un suflet uriaș. Punctuali, atenți la fiecare detaliu și dedicați în tot ceea ce fac. Tratamentele, chiar și cele complexe, cu implanturi , sunt realizate cu o precizie impecabilă și cu multă grijă pentru pacient. Nu sunt doar medici, ci adevărați artiști ai meseriei lor. Recomand din toată inima! (Translated by Google) At Dr. Sirbu's clinic, I felt like I was in good hands from the very first moment. A wonderful team, made up of people with rare skill and a huge soul. Punctual, attentive to every detail and dedicated in everything they do. Treatments, even complex ones, with implants, are performed with impeccable precision and with great care for the patient. They are not just doctors, but true artists of their profession. I recommend them with all my heart!






Revin de fiecare dată cu încredere la acest cabinet stomatologic. Am făcut recent o curățare profesională și detartraj, iar totul a decurs impecabil — rapid, fără durere și cu multă atenție la detalii. Personalul este mereu amabil, profesionist și răbdător. Îl recomand pe dl dr Sirbu cu toată încrederea tuturor celor care caută servicii stomatologice de calitate și un mediu primitor! (Translated by Google) I always come back to this dental office with confidence. I recently had a professional cleaning and scaling done, and everything went flawlessly — quickly, painlessly, and with great attention to detail. The staff is always friendly, professional, and patient. I highly recommend Dr. Sirbu to anyone looking for quality dental services and a welcoming environment!






O experiență plăcută și plină de profesionalism de la recepție și până la procedură în sine. Recomand cu căldură! (Translated by Google) A pleasant and professional experience from the reception to the procedure itself. I highly recommend!






Super profesionisti; recomand cu cel mai mare drag! (Translated by Google) Super professionals; I highly recommend!






O clinică extrem de curată și profesională, iar staff-ul este foarte amabil, precum medicii stomatologi. Recomand cu încredere! (Translated by Google) An extremely clean and professional clinic, and the staff is very kind, as are the dentists. I highly recommend!






Foarte primitori atenți și profesionali Recomand la toată lumea (Translated by Google) Very welcoming, attentive and professional I recommend to everyone






Recomand, d-nul doctor Sirbu este un medic dedicat ,explica fiecare procedura,cu siguranță il recomand. (Translated by Google) I recommend, Dr. Sirbu is a dedicated doctor, he explains each procedure, I definitely recommend him.






Personal amabil si profesionist recomand cu încredere (Translated by Google) Friendly and professional staff, I recommend with confidence






Eu sunt foarte mulțumită! Recomand aceasta clinică cu toată încrederea! Clinica arată foarte bine, au aparatură de înaltă performanță. Inclusiv fetele de la recepție au o abordare prietenoasă și liniștitoare. Sunt pacienta d-nului doctor Mihai Sirbu, despre care vă pot spune că-i un adevărat profesionist! Am ajuns la ei anul trecut în noiembrie, foarte timorată, după experiențe traumatizante, provocate de alți stomatologi. Doctorul Sirbu îți transmite acea încredere că totul este in control, că o să fie bine și chiar e bine. 😊 Mie mi-a pus implanturi, am avut și lucrari pe canal, o lucrare destul de complexă, acum suntem pe ultima sută de metrii și aștept cu nerăbdare partea de estetică. 😊 Mulțumesc mult! ❤️ (Translated by Google) I am very satisfied! I recommend this clinic with all my confidence! The clinic looks very good, they have high-performance equipment. Including the girls at the reception have a friendly and reassuring approach. I am the patient of Dr. Mihai Sirbu, about whom I can tell you that he is a true professional! I came to them last November, very timid, after traumatic experiences, caused by other dentists. Dr. Sirbu conveys that confidence that everything is under control, that it will be fine and it really is. 😊 He put implants in me, I also had root canal work, a fairly complex work, now we are on the last hundred meters and I am eagerly waiting for the aesthetics part. 😊 Thank you very much! ❤️






Ultima mea vizită la Dental Care Sîrbu a fost o urgență. Am fost primit la trei ore după ce am sunat, rezolvat cu amabilitate și profesionalism ca de obicei. (Translated by Google) My last visit to Dental Care Sîrbu was an emergency. I was seen three hours after I called, handled with kindness and professionalism as usual.






top top top!






Am apreciat faptul că domnii doctori mi-au explicat in detaliu fiecare procedura ce urma să o efectuez, mi-au răspuns la toate întrebările și îngrijorările și am ales împreună cea mai buna varianta pentru mine. (Translated by Google) I appreciated the fact that the doctors explained in detail each procedure I was going to undergo, answered all my questions and concerns, and together we chose the best option for me.






Recomand cu drag! Trecand prin mai multe etape, de la extractii de molari, tratamente carii si in prezent tratament ortodontic, pot spune ca DentalCareSirbu este despre profesionalism si incredere, medici calificati si siguranta.






Best dentalcare Clinic i've used! Thanks to Dr. Mihai Sirbu and his professional team. You never be disappointed. Well done👍👍👍






Sunt foarte mulțumit de modul în care am fost tratat. Recomand cu toată încrederea!






Recomand cu toată încrederea pe domnul doctor Costin Sebastian. Te tratează cu multă răbdare, lucrează atent și foarte finuț. M-am simțit confortabil de la prima vizită. Mulțumesc, domnului doctor cât și asistentei






Am fost f plăcut surprinsa de atitudinea dl Doctor Costin Sebastian.






Merg de fiecare dată cu drag la dentist de când am descoperit această clinică. Este un lucru mare să poți râde pe scaunul de la dentist. Iar acest lucru se datorează personalului deosebit, care creează un climat plăcut și sigur, de asemenea lucrând cu grijă și profesionalism. Recomand din tot sufletul!
Află poveștile a sute/zeci de pacienți care au trecut prin astfel de proceduri de reabilitare dentară completă
Dantura fixă pe implanturi reprezintă o metodă modernă prin care se pot înlocui toți dinții lipsă de pe o arcadă dentară, fie superioară, fie inferioară. De obicei, aceasta este susținută de 4 sau 6 implanturi dentare, care asigură stabilitate și funcționalitate. Procedura este indicată persoanelor care și-au pierdut întreaga dantură sau mai au doar câțiva dinți afectați, ce nu mai pot fi salvați.
Proteza dentară fixă pe 4 implanturi este o metodă prin care o întreagă arcadă dentară (superioară sau inferioară) poate fi restaurată cu ajutorul a doar patru implanturi. Două implanturi sunt inserate în zona frontală, în poziție verticală, iar celelalte două sunt plasate în partea posterioară, la un unghi ușor înclinat. Această poziționare oferă o bună stabilitate chiar și atunci când osul maxilar nu are cea mai bună densitate. Folosirea a numai patru implanturi face ca procedura să fie mai puțin invazivă și să reprezinte o opțiune pentru pacienții care vor o soluție rapidă și mai puțin complexă decât intervențiile de reconstrucție osoasă.


Proteza dentară fixă pe 6 implanturi se realizează prin inserarea a șase implanturi dentare care susțin întreaga arcadă. Această metodă este indicată mai ales în situațiile în care osul maxilarului superior este mai slab sau mai subțire și necesită un sprijin suplimentar. Implanturile sunt plasate strategic: două în zona frontală și patru în zonele laterale, astfel încât să ofere o stabilitate crescută și o distribuție uniformă a forțelor masticatorii. În acest fel, proteza fixă devine mai rezistentă și mai confortabilă pentru pacient pe termen lung.
Totul începe cu o consultație amănunțită, unde specialistul evaluează starea generală a dinților și maxilarului pacientului. În această etapă, se realizează radiografii și, dacă este necesar, scanări 3D ale maxilarului pentru a determina dacă există suficient os pentru inserarea implanturilor dentare. Planul de tratament este personalizat în funcție de nevoile fiecărui pacient, stabilind dacă este necesară inserarea a 4 sau 6 implanturi dentare.
Înainte de intervenția chirurgicală, pacientului i se oferă toate informațiile necesare despre ce presupune procedura, inclusiv despre riscuri și beneficii. Dacă este necesar, se pot efectua proceduri suplimentare pentru augmentarea osoasă, în cazul în care maxilarul nu are suficient os pentru inserarea implanturilor. Acest pas este esențial pentru a asigura stabilitatea implanturilor pe termen lung.
Aceasta este etapa principală a tratamentului. În timpul intervenției chirurgicale, specialistul în implantologie va insera 4 sau 6 implanturi dentare în maxilarul pacientului. În cazul sistemului All-on-4, 4 implanturi sunt plasate strategic pentru a susține proteza fixă, în timp ce pentru sistemul All-on-6 se folosesc 6 implanturi, asigurând o distribuție mai largă a forței masticatorii, mai ales în maxilarul superior, unde osul este adesea mai slab.
În multe cazuri, pacientul poate pleca acasă cu o proteză fixă provizorie atașată la implanturile dentare, la doar 24-48 de ore după procedura chirurgicală. Aceasta le permite pacienților să aibă imediat dinți funcționali, chiar dacă proteza definitivă va fi fixată după ce implanturile dentare s-au integrat complet în os, proces care poate dura aproximativ 4-6 luni.
După inserarea implanturilor dentare, urmează o perioadă de aproximativ 6 luni în care implanturile se vor integra în osul maxilarului. Această fază determină succesul pe termen lung al tratamentului, deoarece permite implanturilor să devină o parte integrantă a structurii osoase a maxilarului.
După ce implanturile s-au integrat complet, proteza fixă finală este realizată și montată. Această proteză este concepută pentru a se potrivi cu implanturile, cu structura maxilarului și gingiile pacientului, oferind un zâmbet natural și funcționalitate deplină. Proteza finală este realizată din materiale de înaltă calitate, asigurând durabilitate și confort pe termen lung.

Proteza dentară provizorie pe 4 implanturi are o durată de viață limitată, în general între 6 și 12 luni. Ea are atât un rol estetic, cât și funcțional, permițând pacientului să zâmbească și să mestece în perioada de vindecare.
Se folosește o dantură provizorie deoarece, după inserarea implanturilor, acestea au nevoie de 6–8 luni pentru osteointegrare – procesul prin care se prind și se stabilizează în os. În acest interval, implanturile pot necesita mici ajustări, iar gingia suferă de obicei o retracție naturală. Din acest motiv, proteza definitivă nu se montează imediat, ci abia după finalizarea osteointegrării și stabilizarea gingiei.
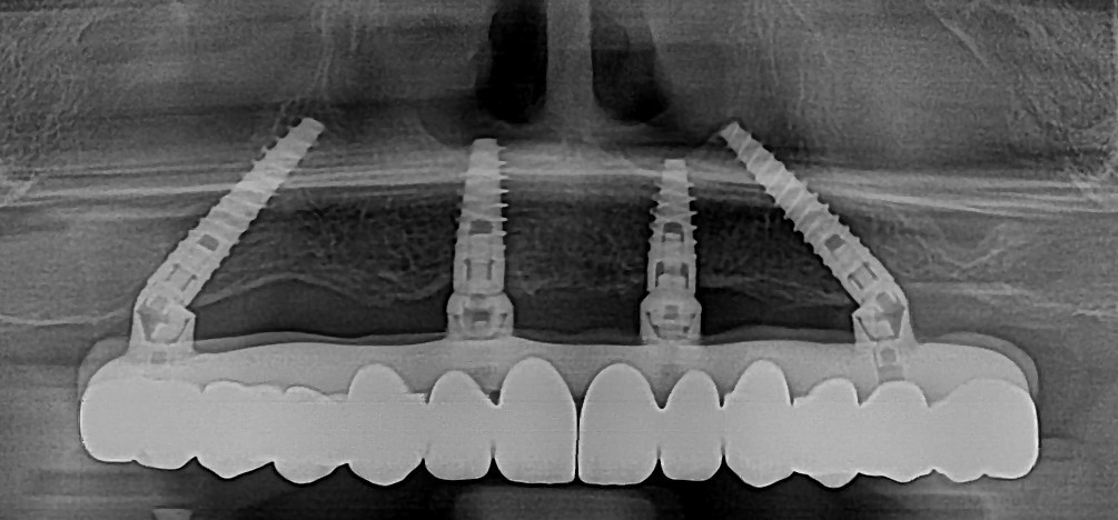
Proteza provizorie este realizată pe un schelet metalic, care îi oferă rezistență și rigiditate, peste care este aplicat un strat de PMMA frezat. Pe radiografie se poate observa clar scheletul metalic ce susține întreaga lucrare.

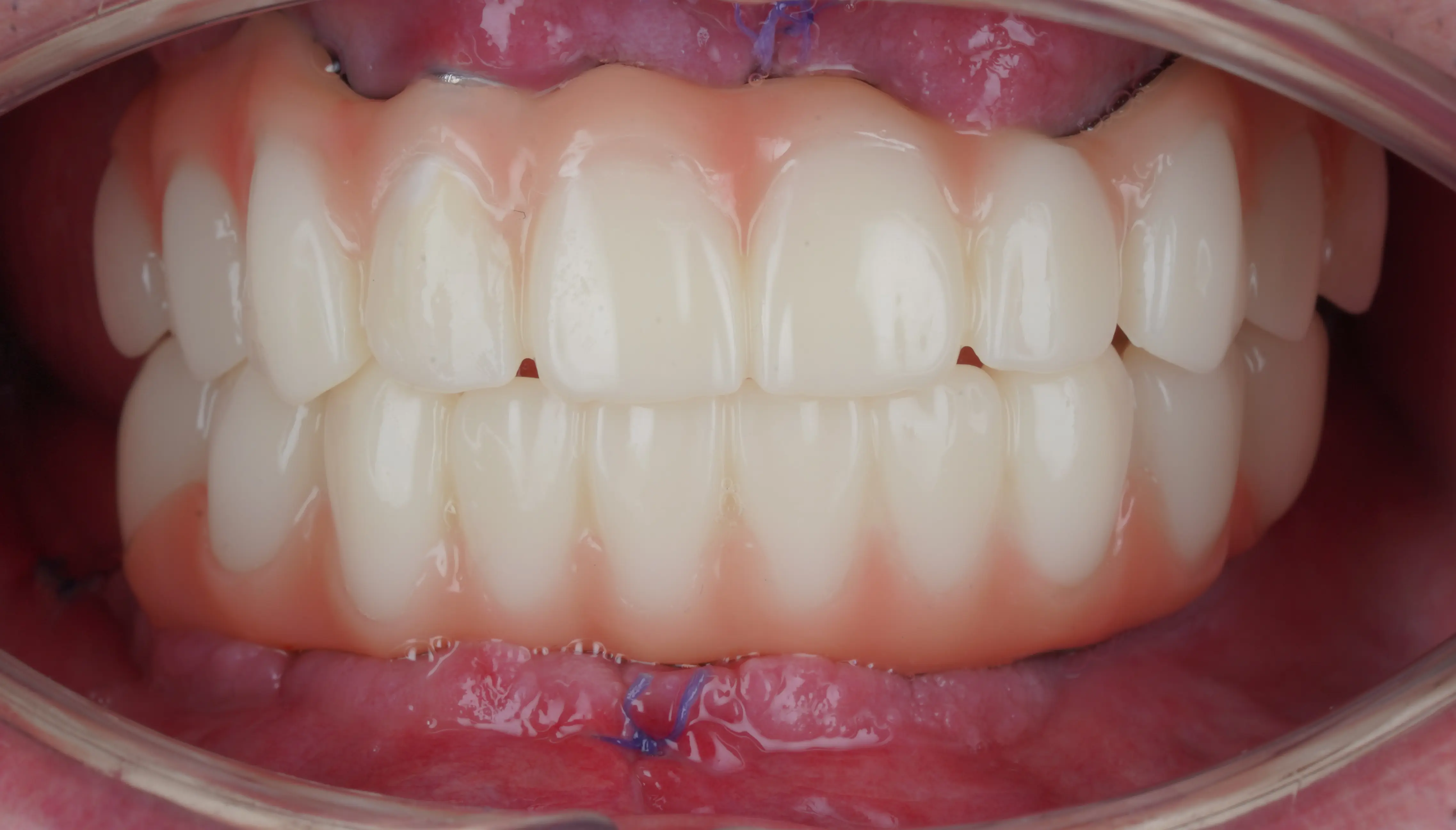
Proteză montată imediat după procedură

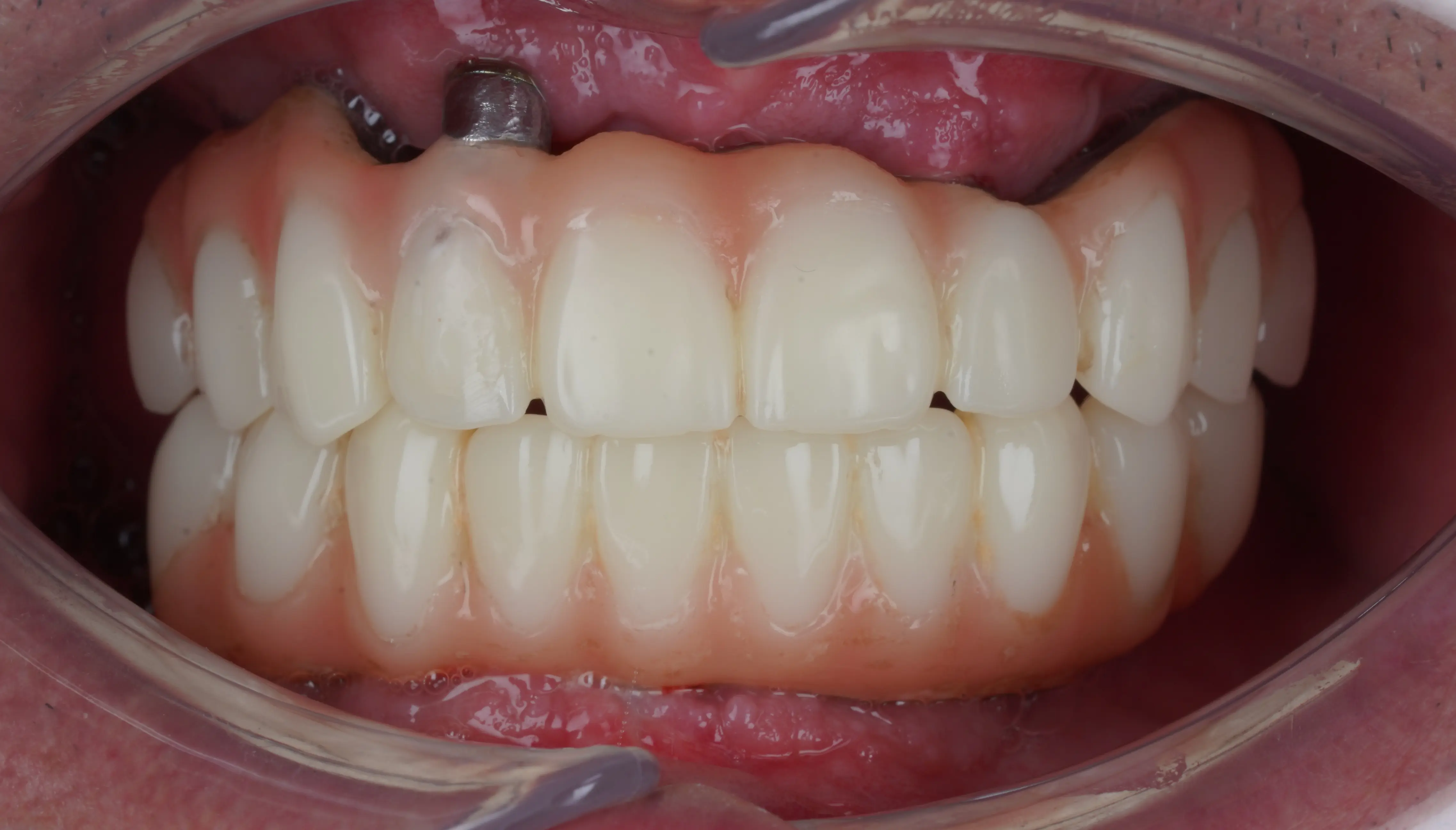
Aceeași proteză, după 6 luni
(se poate observa gingia cum s-a retras)

Proteza dentară definitivă se montează după perioada de vindecare și osteointegrare, în general la 6–8 luni de la intervenție.
Aceasta are la bază un schelet din titan, un material de două ori mai ușor decât plasticul și de zece ori mai rezistent decât alte metale. Spre deosebire de proteza provizorie, unde scheletul este realizat sub forma unei bare, la proteza definitivă fiecare dinte are locul său bine definit pe structura de titan, ceea ce oferă o stabilitate superioară.
Un alt avantaj major îl constituie dinții confecționați din ceramică, un material mult mai rezistent și mai estetic decât PMMA-ul frezat, utilizat la protezele provizorii. Acest lucru asigură nu doar o durabilitate mai mare, ci și un aspect natural, apropiat de cel al dinților reali.

Scheletul unei proteze finale
Pe măsură ce înaintezi în vârstă, menținerea confortului și funcționalității orale devine esențială pentru calitatea vieții. Pierderea dinților poate afecta capacitatea de a savura mesele și încrederea în zâmbet.Implanturile dentare All-on-4 și All-on-6 reprezintă soluții moderne pentru restaurarea completă a danturii, oferind stabilitate și confort superioare comparativ cu protezele mobile tradiționale. Aceste proceduri sunt adaptate nevoilor individuale și pot contribui la îmbunătățirea semnificativă a funcției masticatorii și a aspectului estetic.

Implanturile dentare All-on-4 și All-on-6 asigură o stabilitate ridicată, oferind o alternativă fixă față de protezele mobile care pot provoca disconfort sau deplasări. Această soluție permite o masticație eficientă, o vorbire clară și un zâmbet natural, fără grija deplasării protezei în timpul utilizării.

Un zâmbet sănătos contribuie nu doar la estetică, ci și la starea ta emoțională generală. Implanturile All-on-4 și All-on-6 sunt realizate pentru a imita cât mai fidel aspectul dinților naturali, oferindu-ți un zâmbet armonios și funcțional. Materialele folosite sunt de calitate superioară, asigurând o senzație confortabilă și durabilitate pe termen lung.

Pentru mulți pacienți, ideea unei intervenții chirurgicale poate fi copleșitoare, însă procedurile cu implanturi All-on-4 și All-on-6 sunt considerate minim invazive comparativ cu alte metode de restaurare dentară. Recuperarea este, de regulă, rapidă, iar proteza fixă provizorie poate fi montată în aceeași zi sau la scurt timp după implantare, oferind un zâmbet funcțional fără perioade îndelungate de așteptare.

După implantarea All-on-4 sau All-on-6, poți reveni la o viață normală, chiar îmbunătățită. Dinții fixați oferă posibilitatea de a consuma o varietate largă de alimente, inclusiv cele mai tari sau lipicioase, care pot fi dificile cu protezele mobile. De asemenea, stabilitatea implanturilor sprijină o pronunție clară și naturală. Astfel, aceste soluții permit redescoperirea confortului și plăcerilor cotidiene legate de alimentație și comunicare.

Implanturile All-on-4 și All-on-6 nu doar că îmbunătățesc estetica zâmbetului tău, dar contribuie și la sănătatea generală a cavității bucale. Aceste implanturi ajută la prevenirea pierderii osoase, o problemă comună după pierderea dinților. Deoarece implanturile sunt integrate direct în os, acestea stimulează țesutul osos și previn resorbția osoasă care apare de obicei în cazul protezelor tradiționale. Astfel, structura feței rămâne intactă, iar tu te poți bucura de un aspect tineresc pentru mai mult timp.

Deși investiția inițială în implanturile dentare poate fi mai ridicată, acestea oferă o soluție durabilă pentru restaurarea sănătății orale. Comparativ cu protezele mobile, care pot necesita înlocuiri frecvente și pot genera disconfort, implanturile All-on-4 și All-on-6 sunt concepute pentru a asigura stabilitate și funcționalitate pe termen lung, cu o întreținere corespunzătoare.

Proteza dentară fixă pe implanturi este o soluție eficientă pentru redobândirea zâmbetului și a funcționalității orale, fiind recomandată pacienților cu pierderi dentare extinse sau cu afecțiuni severe ale danturii. Candidații ideali sunt persoanele care își doresc o lucrare fixă și rezistentă, capabilă să ofere o restaurare completă a arcadelor dentare, adaptată particularităților anatomice și nevoilor fiecăruia. O evaluare atentă realizată de medicul specialist este esențială pentru alegerea planului de tratament potrivit.
Implanturile All-on-4 și All-on-6 sunt recomandate pacienților care au pierdut toți dinții sau care dispun doar de câțiva dinți compromiși. Aceste proceduri implică inserarea unui număr redus de implanturi dentare (4 sau 6), pe care se susține o proteză fixă și completă. Astfel, pacienții pot beneficia de o restaurare stabilă și confortabilă, evitând utilizarea protezelor mobile.

Pentru ca implanturile All-on-4 sau All-on-6 să fie o opțiune potrivită, este necesar ca pacientul să aibă un volum osos adecvat în maxilar pentru inserția implanturilor. În cazurile în care osul este insuficient, pot fi recomandate proceduri de augmentare osoasă înainte de implantare. Evaluarea detaliată este realizată de medicul specialist în implantologie, care va stabili eligibilitatea pacientului pentru această metodă de tratament.

Mulți pacienți care au purtat proteze mobile întâmpină dificultăți, cum ar fi disconfortul, instabilitatea protezei și iritațiile. Implanturile All-on-4 și All-on-6 oferă posibilitatea de proteza fixa, eliminând aceste probleme și oferind o soluție mai naturală și mai confortabilă.

Pentru pacienții cu parodontoză avansată sau carii severe care au afectat semnificativ structura dentară, implanturile All-on-4 și All-on-6 pot reprezenta o soluție eficientă. În astfel de situații, extracția dinților compromiși și înlocuirea lor cu implanturi dentare pot contribui la restaurarea sănătății orale și la refacerea funcționalității zâmbetului.

Un avantaj important al implanturilor All-on-4 și All-on-6 este posibilitatea montării unei proteze provizorii imediat după inserția implanturilor sau în câteva zile de la intervenție. Astfel, pacientul poate beneficia rapid de o dantură funcțională, reducând semnificativ perioada de așteptare până la restabilirea unei vieți cotidiene normale.

Pentru pacienții cu maxilar superior cu densitate osoasă redusă, procedura All-on-6 poate fi recomandată, deoarece implică inserarea unui număr mai mare de implanturi dentare, oferind o stabilitate sporită. Implanturile suplimentare contribuie la o distribuție echilibrată a forțelor masticatorii, susținând funcționalitatea optimă și durabilitatea restaurării pe termen lung.

Costul tratamentului este împărțit în două etape:
1. prima etapă include proteza provizorie, care are un onorariu separat;
2. a doua etapă se referă la proteza definitivă, care presupune un alt onorariu.
Prețurile pot varia în funcție de mai mulți factori, precum numărul de implanturi utilizate și complexitatea lucrării. De regulă, atunci când se folosesc 6 implanturi, proteza va include și un număr mai mare de dinți, comparativ cu situația în care se folosesc doar 4 implanturi, unde lucrarea este mai redusă.
Mai jos vei găsi o reprezentare grafică a costurilor, pentru a înțelege mai ușor diferențele dintre etape și variante.








Alege implanturile All-on-4/6 la Clinica Dental Care Sîrbu pentru soluții rapide, sigure și durabile, realizate de specialiști cu experiență. Oferim materiale de calitate premium, tehnologii moderne și un plan de tratament personalizat pentru un zâmbet perfect și confort pe termen lung.

În 2023, Dr. Sîrbu, medic chirurg la DentalCare Sîrbu, a participat la cursul internațional „Masters in the Extreme and Immediate Restoration in the Full Arch”, organizat de JdentalCare. Aici a aprofundat tehnici moderne pentru reabilitări All-on-4 și All-on-6, inclusiv:
- tratamente imediate fără grefe osoase, chiar în cazuri complexe
- planificare digitală precisă
- folosirea sistemelor de implanturi JdentalCare pentru integrare rapidă și durabilă.
Această pregătire îi permite să ofere pacienților soluții rapide, sigure și minim invazive, cu rezultate excelente și o recuperare ușoară.


Dr. Sîrbu a urmat un curs specializat organizat de All on X, dedicat cazurilor severe de reabilitare dentară. Aici a învățat să utilizeze tehnici avansate pentru inserarea implanturilor intranazale, pterigoidiene și subperiostale – soluții rezervate celor mai dificile situații, în care alți pacienți sunt adesea refuzați.
Datorită acestei pregătiri, Dr. Mihai poate oferi tratamente personalizate și eficiente chiar și în cele mai complicate cazuri, fără necesitatea grefelor osoase sau a intervențiilor multiple.
Cu această expertiză, putem spune cu încredere că există o soluție pentru orice caz.


Dr. Sîrbu – excelență în estetică dentară modernă
Pentru a completa expertiza sa în implantologie și reabilitări complexe, Dr. Mihai a participat la renumitul Big Veneer Course susținut de Belograd Academy – una dintre cele mai respectate școli internaționale de estetică dentară.
În cadrul acestui curs intensiv, a învățat tehnici avansate de fațetare, design digital al zâmbetului (DSD), preparare minim invazivă și estetica perfect integrată în armonia facială.
Această formare îi permite să îmbine funcționalitatea cu estetica de top, oferind pacienților nu doar o dantură sănătoasă, ci și un zâmbet natural și spectaculos.

Echipa Dental Care Sîrbu, invitată în emisiuni precum „Sănătate cu Stil” la Prima TV și „Made in Cluj” la Radio Transilvania
.avif)



De la scanare 3D la implanturi asistate digital - precizie fără compromis










Ne dorim să fii bine informat - am adunat aici răspunsuri la cele mai frecvente întrebări și nelămuriri.
Costul unui implant dentar depinde de mai mulți factori, precum tipul implantului, complexitatea tratamentului și eventualele proceduri adiționale, cum ar fi augmentarea osoasă. La clinica noastră din Cluj-Napoca, utilizăm implanturi dentare moderne, conform standardelor de calitate. Pentru o estimare precisă a costurilor, recomandăm o consultație inițială.
Procedura de inserare a implantului dentar se efectuează sub anestezie locală, asigurând confortul pacientului pe durata intervenției. După dispariția efectului anesteziei, poate apărea un disconfort ușor, care poate fi gestionat prin medicația recomandată de medicul stomatolog.
Procesul de vindecare, cunoscut sub numele de osteointegrare, durează de obicei între 3 și 6 luni. În această perioadă, implantul se integrează cu osul maxilarului, asigurând o bază stabilă pentru coroana dentară. Este important să urmezi toate indicațiile medicului implantolog pentru a asigura o vindecare corectă.
La clinica noastră, folosim diverse tipuri de implanturi dentare, inclusiv implanturi Straumann, recunoscute pentru calitatea și durabilitatea lor. Alegerea tipului de implant dentar depinde de nevoile specifice ale pacientului și de indicațiile medicale. Medicul implantolog te va ajuta să alegi tipul de implant care se potrivește cel mai bine situației tale.
Durata de viață a unui implant dentar poate varia în funcție de sănătatea ta generală, igiena orală și materialele utilizate. Cu o îngrijire corespunzătoare și controale regulate, un implant dentar de calitate poate dura între 15 și 25 de ani sau chiar mai mult. Este important să menții o igienă orală strictă și să vizitezi medicul stomatolog periodic pentru evaluări.
Coroana dentară permanentă este aplicată după integrarea completă a implantului în osul maxilarului, proces cunoscut sub numele de osteointegrare, care durează, în general, între 3 și 6 luni. Pe această perioadă, pacientul beneficiază de o proteză provizorie, astfel încât să nu rămână fără dinți. Medicul implantolog monitorizează evoluția vindecării și stabilește momentul optim pentru fixarea coroanei definitive.
Implanturile dentare oferă multiple beneficii, printre care restaurarea funcționalității și aspectului natural al danturii, prevenirea resorbției osoase și susținerea structurii faciale. Spre deosebire de alte soluții protetice, implanturile nu implică șlefuirea dinților adiacenți și reprezintă o opțiune durabilă și stabilă pentru înlocuirea dinților lipsă
Rata de succes a implanturilor dentare este foarte ridicată, de peste 95%, atunci când sunt utilizate materiale de calitate și proceduri corecte. Factori precum starea ta generală de sănătate, volumul osos disponibil și respectarea indicațiilor postoperatorii influențează succesul pe termen lung al implantului.
Află ce opțiune ți se potrivește cel mai bine pentru refacerea zâmbetului, într-un mod adaptat nevoilor tale și cu un plan de tratament eficient.