Program:
Luni - Vineri
9am - 9pm
Sâmbătă:
9am - 3pm
Duminică:
închis
0740 765 262
0376 509 458
Am o urgență
Află toate informațiile despre acest tratament, precum și prețurile acestuia, din informațiile de mai jos.






Foarte profesionisti! (Translated by Google) Very professional!






Recomand ! (Translated by Google) I recommend!






Recomand (Translated by Google) recommend






Pentru prima dată merg cu drag la dentist!! Mulțumesc echipei DentalCare Sîrbu pentru profesionalism!! 10* (Translated by Google) For the first time I am happy to go to the dentist!! Thank you to the DentalCare Sîrbu team for their professionalism!! 10*






La clinica domnului dr. Sirbu, am simțit că sunt pe mâini bune încă din prima clipă. O echipă minunată, formată din oameni cu o măiestrie rară și un suflet uriaș. Punctuali, atenți la fiecare detaliu și dedicați în tot ceea ce fac. Tratamentele, chiar și cele complexe, cu implanturi , sunt realizate cu o precizie impecabilă și cu multă grijă pentru pacient. Nu sunt doar medici, ci adevărați artiști ai meseriei lor. Recomand din toată inima! (Translated by Google) At Dr. Sirbu's clinic, I felt like I was in good hands from the very first moment. A wonderful team, made up of people with rare skill and a huge soul. Punctual, attentive to every detail and dedicated in everything they do. Treatments, even complex ones, with implants, are performed with impeccable precision and with great care for the patient. They are not just doctors, but true artists of their profession. I recommend them with all my heart!






Revin de fiecare dată cu încredere la acest cabinet stomatologic. Am făcut recent o curățare profesională și detartraj, iar totul a decurs impecabil — rapid, fără durere și cu multă atenție la detalii. Personalul este mereu amabil, profesionist și răbdător. Îl recomand pe dl dr Sirbu cu toată încrederea tuturor celor care caută servicii stomatologice de calitate și un mediu primitor! (Translated by Google) I always come back to this dental office with confidence. I recently had a professional cleaning and scaling done, and everything went flawlessly — quickly, painlessly, and with great attention to detail. The staff is always friendly, professional, and patient. I highly recommend Dr. Sirbu to anyone looking for quality dental services and a welcoming environment!






O experiență plăcută și plină de profesionalism de la recepție și până la procedură în sine. Recomand cu căldură! (Translated by Google) A pleasant and professional experience from the reception to the procedure itself. I highly recommend!






Super profesionisti; recomand cu cel mai mare drag! (Translated by Google) Super professionals; I highly recommend!






O clinică extrem de curată și profesională, iar staff-ul este foarte amabil, precum medicii stomatologi. Recomand cu încredere! (Translated by Google) An extremely clean and professional clinic, and the staff is very kind, as are the dentists. I highly recommend!






Foarte primitori atenți și profesionali Recomand la toată lumea (Translated by Google) Very welcoming, attentive and professional I recommend to everyone






Recomand, d-nul doctor Sirbu este un medic dedicat ,explica fiecare procedura,cu siguranță il recomand. (Translated by Google) I recommend, Dr. Sirbu is a dedicated doctor, he explains each procedure, I definitely recommend him.






Personal amabil si profesionist recomand cu încredere (Translated by Google) Friendly and professional staff, I recommend with confidence






Eu sunt foarte mulțumită! Recomand aceasta clinică cu toată încrederea! Clinica arată foarte bine, au aparatură de înaltă performanță. Inclusiv fetele de la recepție au o abordare prietenoasă și liniștitoare. Sunt pacienta d-nului doctor Mihai Sirbu, despre care vă pot spune că-i un adevărat profesionist! Am ajuns la ei anul trecut în noiembrie, foarte timorată, după experiențe traumatizante, provocate de alți stomatologi. Doctorul Sirbu îți transmite acea încredere că totul este in control, că o să fie bine și chiar e bine. 😊 Mie mi-a pus implanturi, am avut și lucrari pe canal, o lucrare destul de complexă, acum suntem pe ultima sută de metrii și aștept cu nerăbdare partea de estetică. 😊 Mulțumesc mult! ❤️ (Translated by Google) I am very satisfied! I recommend this clinic with all my confidence! The clinic looks very good, they have high-performance equipment. Including the girls at the reception have a friendly and reassuring approach. I am the patient of Dr. Mihai Sirbu, about whom I can tell you that he is a true professional! I came to them last November, very timid, after traumatic experiences, caused by other dentists. Dr. Sirbu conveys that confidence that everything is under control, that it will be fine and it really is. 😊 He put implants in me, I also had root canal work, a fairly complex work, now we are on the last hundred meters and I am eagerly waiting for the aesthetics part. 😊 Thank you very much! ❤️






Ultima mea vizită la Dental Care Sîrbu a fost o urgență. Am fost primit la trei ore după ce am sunat, rezolvat cu amabilitate și profesionalism ca de obicei. (Translated by Google) My last visit to Dental Care Sîrbu was an emergency. I was seen three hours after I called, handled with kindness and professionalism as usual.






top top top!






Am apreciat faptul că domnii doctori mi-au explicat in detaliu fiecare procedura ce urma să o efectuez, mi-au răspuns la toate întrebările și îngrijorările și am ales împreună cea mai buna varianta pentru mine. (Translated by Google) I appreciated the fact that the doctors explained in detail each procedure I was going to undergo, answered all my questions and concerns, and together we chose the best option for me.






Recomand cu drag! Trecand prin mai multe etape, de la extractii de molari, tratamente carii si in prezent tratament ortodontic, pot spune ca DentalCareSirbu este despre profesionalism si incredere, medici calificati si siguranta.






Best dentalcare Clinic i've used! Thanks to Dr. Mihai Sirbu and his professional team. You never be disappointed. Well done👍👍👍






Sunt foarte mulțumit de modul în care am fost tratat. Recomand cu toată încrederea!






Recomand cu toată încrederea pe domnul doctor Costin Sebastian. Te tratează cu multă răbdare, lucrează atent și foarte finuț. M-am simțit confortabil de la prima vizită. Mulțumesc, domnului doctor cât și asistentei






Am fost f plăcut surprinsa de atitudinea dl Doctor Costin Sebastian.






Merg de fiecare dată cu drag la dentist de când am descoperit această clinică. Este un lucru mare să poți râde pe scaunul de la dentist. Iar acest lucru se datorează personalului deosebit, care creează un climat plăcut și sigur, de asemenea lucrând cu grijă și profesionalism. Recomand din tot sufletul!
Află poveștile a sute/zeci de pacienți care au trecut prin astfel de proceduri de reabilitare dentară completă
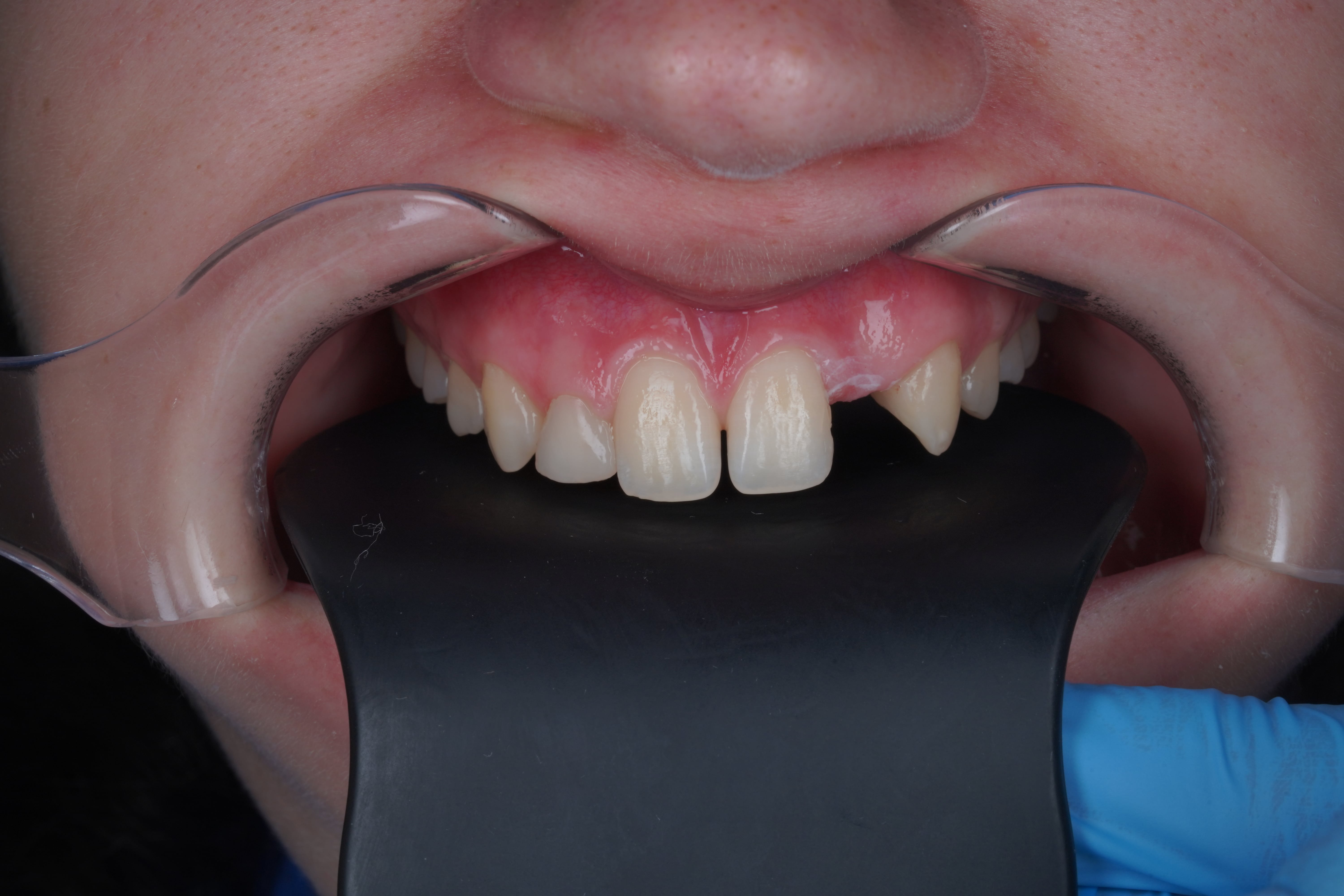
Implantul dentar este o soluție modernă și eficientă folosită pentru înlocuirea unuia sau mai multor dinți lipsă cu scopul de a înlocui un dinte natural, atât din punct de vedere estetic, cât și funcțional. Intervenția constă în inserarea unei rădăcini artificiale în os, pe care ulterior se fixează coroana dentară. Această procedură este ideală pentru pacienții care au o dantură sănătoasă, dar cărora le lipsesc unul sau mai mulți dinți.
Tratamentul cu implant dentar este un proces complex care implică mai multe etape esențiale pentru a asigura un rezultat de succes și durabil. Iată care sunt principalele etape ale acestui tratament:
Prima etapă constă într-o consultație detaliată cu medicul specialist, unde se realizează o evaluare clinică completă și investigații radiologice, cum ar fi radiografia 3D (CBCT). Aceste investigații ajută la crearea unui plan de tratament personalizat, adaptat nevoilor specifice ale pacientului.
În această fază, medicul discută cu pacientul despre opțiunile disponibile, costuri și durata tratamentului. Se stabilesc toate detaliile necesare, inclusiv necesitatea unor eventuale intervenții suplimentare, cum ar fi adiția de os sau sinus lift, în cazul în care volumul osos nu este suficient pentru susținerea implantului.
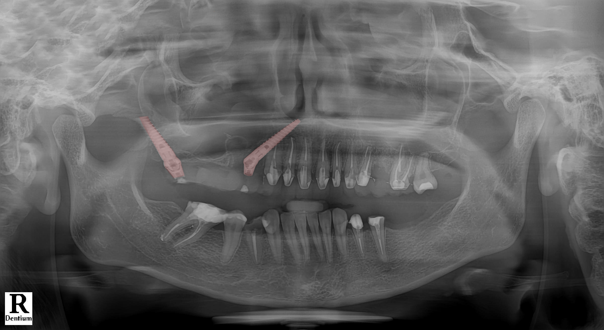
Inserarea implantului dentar este o procedură chirurgicală efectuată sub anestezie locală, pentru a asigura confortul pacientului. Se realizează o incizie în gingie pentru a expune osul, unde se inserează implantul folosind instumente speciale. După inserare, gingia este suturată pentru a proteja zona.
Aceasta este etapa în care implantul se integrează cu osul maxilar. Procesul de osteointegrare poate dura între 3 și 6 luni, în funcție de materialul biologic al pacientului. Este esențial pentru a oferi stabilitatea necesară implantului înainte de a fixa coroana dentară.
După ce implantul s-a integrat complet în os, se montează coroana dentară definitivă. Aceasta poate fi realizată din materiale durabile și estetice, cum ar fi zirconiu, pentru a asigura un aspect natural și o funcționalitate optimă. Bontul protetic conectează implantul dentar de coroana dentară, oferind stabilitate și funcționalitate. Bontul este conceput să asigure o fixare precisă și un aspect natural.
Controalele regulate sunt esențiale pentru a monitoriza starea implantului și a asigura succesul pe termen lung al tratamentului. Pacienții trebuie să revină la clinica stomatologică pentru evaluări periodice.
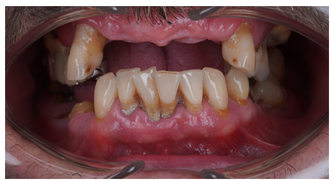
Pe măsură ce înaintezi în vârstă, menținerea confortului și funcționalității orale devine esențială pentru calitatea vieții. Pierderea dinților poate afecta capacitatea de a savura mesele și încrederea în zâmbet.Implanturile dentare All-on-4 și All-on-6 reprezintă soluții moderne pentru restaurarea completă a danturii, oferind stabilitate și confort superioare comparativ cu protezele mobile tradiționale. Aceste proceduri sunt adaptate nevoilor individuale și pot contribui la îmbunătățirea semnificativă a funcției masticatorii și a aspectului estetic.

Implantul dentar asigură o stabilitate ridicată și reprezintă o soluție sigură și permanentă pentru înlocuirea dinților lipsă. Acesta permite o masticație eficientă, o vorbire corectă și redă aspectul natural al zâmbetului, fără riscul disconfortului sau deplasării dinților în timpul utilizării.

Un zâmbet sănătos contribuie nu doar la estetică, ci și la starea ta emoțională generală. Implantul dentar este creat pentru a înlocui fidel dintele natural, oferindu-ți un aspect armonios și funcțional. Materialele utilizate sunt de calitate superioară, asigurând confort sporit și rezistență pe termen lung.

Pentru mulți pacienți, ideea unei intervenții chirurgicale poate părea copleșitoare, însă inserarea unui implant dentar este considerată o procedură minim invazivă și confortabilă. Recuperarea este, în general, rapidă, iar pacientul se poate bucura de un dinte provizoriu imediat sau la scurt timp după intervenție, beneficiind astfel rapid de un zâmbet complet și funcțional.

Implanturile dentare nu doar că îmbunătățesc estetica zâmbetului, dar contribuie și la sănătatea generală a cavității bucale. Integrate direct în os, ele stimulează țesutul osos și previn resorbția care apare după pierderea dinților. Astfel, structura feței rămâne intactă, iar tu te poți bucura de un aspect tineresc pentru mai mult timp.

Pe măsură ce înaintezi în vârstă, menținerea confortului și funcționalității orale devine esențială pentru calitatea vieții. Pierderea dinților poate afecta capacitatea de a savura mesele și încrederea în zâmbet.Implanturile dentare All-on-4 și All-on-6 reprezintă soluții moderne pentru restaurarea completă a danturii, oferind stabilitate și confort superioare comparativ cu protezele mobile tradiționale. Aceste proceduri sunt adaptate nevoilor individuale și pot contribui la îmbunătățirea semnificativă a funcției masticatorii și a aspectului estetic.





Toate tipurile de implant dentar realizate în cadrul Clinicii Dental Care Sîrbu








Toate tipurile de implant dentar realizate în cadrul Clinicii Dental Care Sîrbu
Alege implanturile All-on-4/6 la Clinica Dental Care Sîrbu pentru soluții rapide, sigure și durabile, realizate de specialiști cu experiență. Oferim materiale de calitate premium, tehnologii moderne și un plan de tratament personalizat pentru un zâmbet perfect și confort pe termen lung.

În 2023, Dr. Sîrbu, medic chirurg la DentalCare Sîrbu, a participat la cursul internațional „Masters in the Extreme and Immediate Restoration in the Full Arch”, organizat de JdentalCare. Aici a aprofundat tehnici moderne pentru reabilitări All-on-4 și All-on-6, inclusiv:
- tratamente imediate fără grefe osoase, chiar în cazuri complexe
- planificare digitală precisă
- folosirea sistemelor de implanturi JdentalCare pentru integrare rapidă și durabilă.
Această pregătire îi permite să ofere pacienților soluții rapide, sigure și minim invazive, cu rezultate excelente și o recuperare ușoară.


Dr. Sîrbu a urmat un curs specializat organizat de All on X, dedicat cazurilor severe de reabilitare dentară. Aici a învățat să utilizeze tehnici avansate pentru inserarea implanturilor intranazale, pterigoidiene și subperiostale – soluții rezervate celor mai dificile situații, în care alți pacienți sunt adesea refuzați.
Datorită acestei pregătiri, Dr. Mihai poate oferi tratamente personalizate și eficiente chiar și în cele mai complicate cazuri, fără necesitatea grefelor osoase sau a intervențiilor multiple.
Cu această expertiză, putem spune cu încredere că există o soluție pentru orice caz.


Dr. Sîrbu – excelență în estetică dentară modernă
Pentru a completa expertiza sa în implantologie și reabilitări complexe, Dr. Mihai a participat la renumitul Big Veneer Course susținut de Belograd Academy – una dintre cele mai respectate școli internaționale de estetică dentară.
În cadrul acestui curs intensiv, a învățat tehnici avansate de fațetare, design digital al zâmbetului (DSD), preparare minim invazivă și estetica perfect integrată în armonia facială.
Această formare îi permite să îmbine funcționalitatea cu estetica de top, oferind pacienților nu doar o dantură sănătoasă, ci și un zâmbet natural și spectaculos.

Echipa Dental Care Sîrbu, invitată în emisiuni precum „Sănătate cu Stil” la Prima TV și „Made in Cluj” la Radio Transilvania
.avif)



De la scanare 3D la implanturi asistate digital - precizie fără compromis
Echipa Dental Care Sîrbu, invitată în emisiuni precum „Sănătate cu Stil” la Prima TV și „Made in Cluj” la Radio Transilvania










Ne dorim să fii bine informat - am adunat aici răspunsuri la cele mai frecvente întrebări și nelămuriri.
Costul unui implant dentar depinde de mai mulți factori, precum tipul implantului, complexitatea tratamentului și eventualele proceduri adiționale, cum ar fi augmentarea osoasă. La clinica noastră din Cluj-Napoca, utilizăm implanturi dentare moderne, conform standardelor de calitate. Pentru o estimare precisă a costurilor, recomandăm o consultație inițială.
Procedura de inserare a implantului dentar se efectuează sub anestezie locală, asigurând confortul pacientului pe durata intervenției. După dispariția efectului anesteziei, poate apărea un disconfort ușor, care poate fi gestionat prin medicația recomandată de medicul stomatolog.
Procesul de vindecare, cunoscut sub numele de osteointegrare, durează de obicei între 3 și 6 luni. În această perioadă, implantul se integrează cu osul maxilarului, asigurând o bază stabilă pentru coroana dentară. Este important să urmezi toate indicațiile medicului implantolog pentru a asigura o vindecare corectă.
La clinica noastră, folosim diverse tipuri de implanturi dentare, inclusiv implanturi Straumann, recunoscute pentru calitatea și durabilitatea lor. Alegerea tipului de implant dentar depinde de nevoile specifice ale pacientului și de indicațiile medicale. Medicul implantolog te va ajuta să alegi tipul de implant care se potrivește cel mai bine situației tale.
Durata de viață a unui implant dentar poate varia în funcție de sănătatea ta generală, igiena orală și materialele utilizate. Cu o îngrijire corespunzătoare și controale regulate, un implant dentar de calitate poate dura între 15 și 25 de ani sau chiar mai mult. Este important să menții o igienă orală strictă și să vizitezi medicul stomatolog periodic pentru evaluări.
Coroana dentară permanentă este aplicată după integrarea completă a implantului în osul maxilarului, proces cunoscut sub numele de osteointegrare, care durează, în general, între 3 și 6 luni. Pe această perioadă, pacientul beneficiază de o proteză provizorie, astfel încât să nu rămână fără dinți. Medicul implantolog monitorizează evoluția vindecării și stabilește momentul optim pentru fixarea coroanei definitive.
Implanturile dentare oferă multiple beneficii, printre care restaurarea funcționalității și aspectului natural al danturii, prevenirea resorbției osoase și susținerea structurii faciale. Spre deosebire de alte soluții protetice, implanturile nu implică șlefuirea dinților adiacenți și reprezintă o opțiune durabilă și stabilă pentru înlocuirea dinților lipsă
Rata de succes a implanturilor dentare este foarte ridicată, de peste 95%, atunci când sunt utilizate materiale de calitate și proceduri corecte. Factori precum starea ta generală de sănătate, volumul osos disponibil și respectarea indicațiilor postoperatorii influențează succesul pe termen lung al implantului.
Aveți nevoie de un implant? Oricine are unul sau mai mulți dinți lipsă este un candidat bun pentru implanturi dentare. Indiferent dacă îți lipsește un singur dinte, mai mulți dinți sau toți dinții, implanturile dentare pot fi o soluție potrivită pentru tine. Discută cu medicii noștri dentiști pentru a determina cea mai bună opțiune de înlocuire a dinților.
Află ce opțiune ți se potrivește cel mai bine pentru refacerea zâmbetului, într-un mod adaptat nevoilor tale și cu un plan de tratament eficient.